Le système CEREC est un système de CFAO (conception fabrication par ordinateur) adapté aux soins dentaires. Il permet de fabriquer des couronnes, bridges, facettes et inlays/onlays en céramique et en une seule séance.

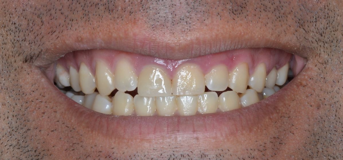
Situation initiale
Le patient souhaite restaurer la forme et la teinte de ses incisives centrales. La décision est prise de couronner l'incisive centrale droite avec le système cerec
Préparation des dents
L'incisive centrale gauche est restaurée à l'aide de composite et l'incisive centrale droite est préparée pour recevoir une couronne.
Choix de la teinte
La couronne sera usinée dans un bloc de céramique. La teinte est préalablement choisie.
Empreinte optique
Une empreinte optique est réalisée à l'aide d'une caméra, remplaçant l'empreinte traditionnelle avec du silicone. La représentation des arcades dentaires en 3 dimensions est immédiate. Le logiciel modélise sur mesure la future couronne en s'inspirant des dents présentes (méthode biogénérique). Ici il s'agit de copier par symétrie la forme de l'incisive centrale adjacente. Des ajustements peuvent être réalisés manuellement.
Usinage de la couronne
L'usinage de la couronne est réalisé sur place et prend entre 5 et 15 minutes.
Personnalisation de la couronne
Un glaçage de la céramique est réalisé. De plus des pigments de céramique peuvent être appliqués sur la couronne pour avoir un résultat esthétique optimal. La cuisson de la céramique dure 15 minutes.

Résultat final
La couronne tout céramique est essayée et collée. Au total le rendez-vous aura duré 1h30. Le patient aura patienté environ 30 minutes le temps que la couronne soit usinée et glaçée. Il n'y aura pas eu de couronne provisoire.